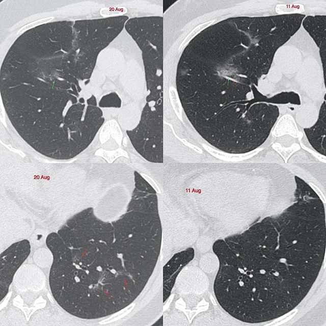
Then we have this 42-years old man with two scans done 9 days apart, who was mildly symptomatic at the time of the first scan and is asymptomatic at the time of the 2nd scan. The upper lobe lesions seen on the first scan have improved (green arrows), but there are new lesions in both lower lobes, especially the left (red arrows).
So is this progressive disease? Or is it more likely that the lesions increased immediately after the first CT and have settled and this is now the residue of that increase? It is not an easy distinction to make radiologically, though clinically if the patient is fine, then these CT scan appearances probably don’t matter.







